近日,昆明市第一人民医院南院区心内科团队再次完成一例急性心梗手术,拯救了患者生命。
患者是一位中年男性,急性心肌梗死,猝死、心跳呼吸骤停2次。病人接入医院后,急诊科首先持续胸外按压CPR、气管插管,为病人赢得了手术的机会,心内科急诊手术组接力第二棒,在气管插管下行急诊手术,开通血管,术后病人交给CCU重症团队,次日就已脱机拔管,最后由心脏康复团队接手进行护理。

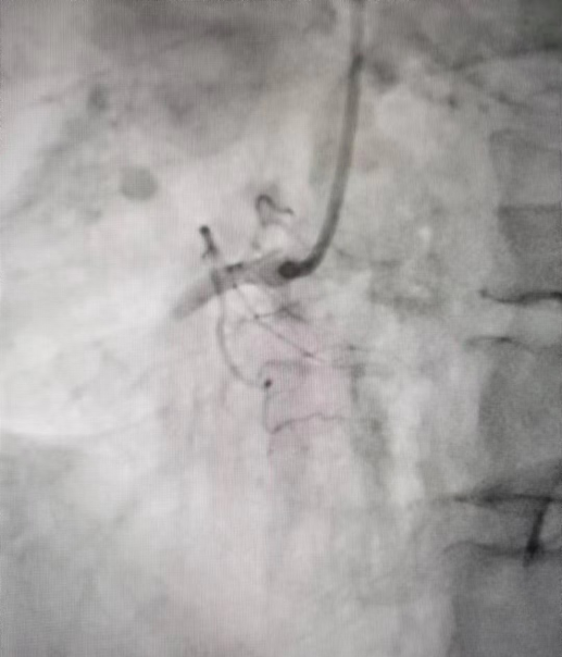
术前造影

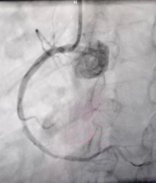
术后造影
每一个环节都是市一院医疗团队的实力彰显,每一步都是医护人员分秒必争、全力以赴的初心和使命。
昆明市第一人民医院南院区心内科医疗团队拥有多年的临床经验与一流的医疗服务水平,始终秉持用心做事核心价值观,竭诚为广大患者提供最优质高效的治疗,让每一位患者人生之旅健康幸福!